Big tech company hype sells generative artificial intelligence (AI) as intelligent, creative, desirable, inevitable,...
Here’s what’s at stake as the federal government opens its doors for generative artificial...
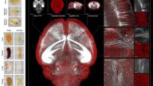
Chinese scientists have developed a technology that can make organs such as the brain...
As comfortable as they are versatile, granny cardigans are very much in style…Read More
Temi Otedola’s polka dot civil wedding dress in Monaco was pure vintage glamour. The...
The Army’s now-cancelled Command Assessment Program selected white male officers for command roles at...
The Reds leave Craven Cottage frustrated, despite registering a first Premier League point of...
Everton remain interested in completing the signing of a Premier League midfielder this summer…Read...
Chelsea will be very busy during the final week of the summer transfer window,...
Liverpool head to Newcastle for a crunch Premier League clash at St. James’ Park…Read...