
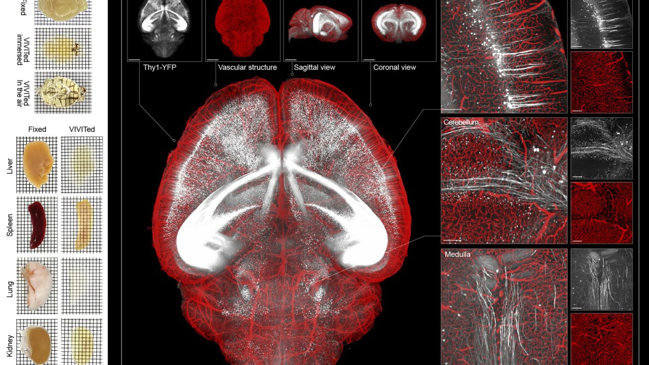
Chinese scientists have developed a technology that can make organs such as the brain or the heart transparent, allowing an exceptionally clear view of their inner workings.
The new method produced “highly accurate and vivid” 3D images of organs by preserving the integrity of their biological structures and enhancing the brightness of the fluorescent dyes scientists use to highlight cells and molecules…
Read More